CT、MRI很难?NO,今日我们一起来学习一下如何读CT、MRI!
外行看热闹:
据说有个非常简单的辨别方法:
MRI(超导型)比CT厚火影忍者剧情介绍
如果还是分不清,
看看下面这张图

内行看门道:
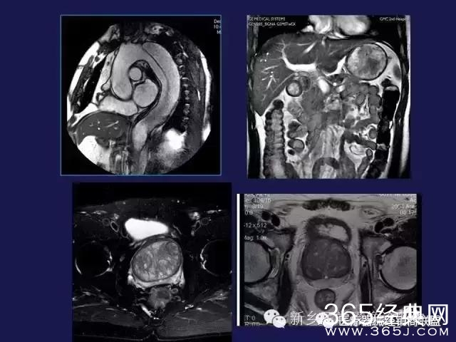
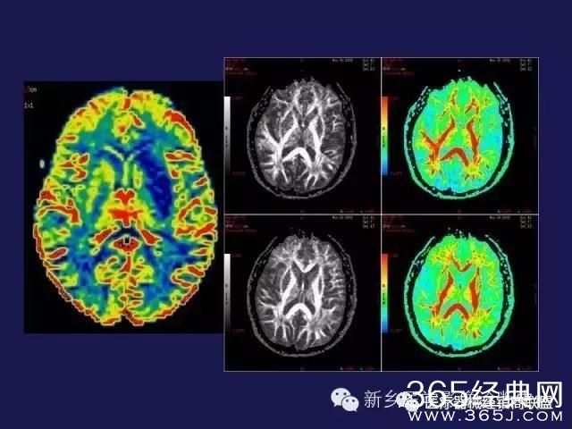
整整90张图
强烈建议大家收藏后再观看
毕竟这么专业的东西可是少有的哦~
能保存一份是一份呀~


























































































娱乐圈中被包养的女星数不胜数,包养男人的女星也数不胜数,但是很多女星被包养后还死 ...
讲到女性做爱至高潮算得上是一件很神秘的事情,因为男女之间的区别,男性在高潮时伴有 ...
近日,一美国19岁女孩在图书馆里面不管不顾公众场所,公然自慰事件引起了网友们的关注 ...
昨天,院长写了一篇关于电影《大只佬》的原版解析。这部当年囊括23届金像奖多个奖项的 ...
据韩国媒体日刊体育报道,《RunningMan》改版,金钟国被裁,宋智孝也被节目组抛弃。宋 ...